胸片全体曝光:清晰呈现胸部健康状况
在繁忙的都市生活中,我们常常忽略了自己的健康。保持良好的身体健康是至关重要的,尤其是对于胸部健康来说更是如此。胸片全体曝光是一种简单而有效的检查方法,能够清晰地呈现胸部的健康状况,让我们及时发现潜在的问题。

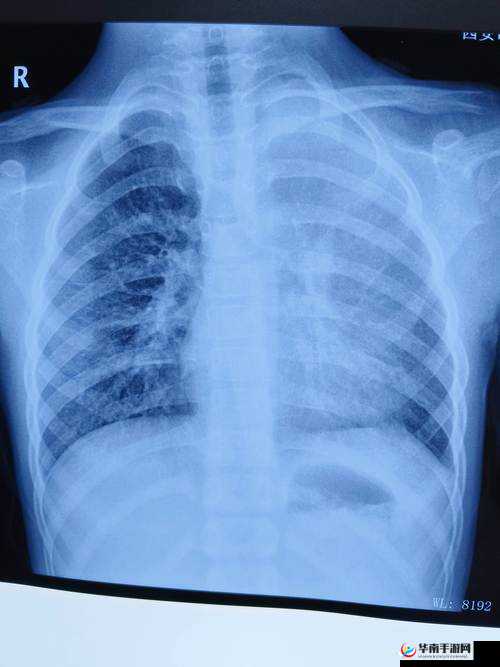
胸片,全称胸部 X 光片,是一种常用的医学影像检查方法。它通过 X 线束对胸部进行照射,然后将穿过胸部的 X 线束投影在胶片或探测器上,形成黑白对比的影像。胸片可以帮助医生观察胸部的结构、形态、大小以及肺部的情况,包括肺部纹理、心脏大小、纵隔情况等。
胸片全体曝光的优点之一是能够早期发现肺部疾病。许多肺部疾病在早期阶段可能没有明显的症状,但通过胸片检查,医生可以发现一些细微的变化,如肺部结节、肺炎、肺气肿等。这些早期发现对于及时治疗和提高治愈率非常重要。
胸片还可以用于检测胸部的其他异常情况,如肋骨骨折、胸腔积液、纵隔肿瘤等。对于长期吸烟、有肺癌家族史或其他高危因素的人群,定期进行胸片检查可以帮助早期发现肺癌,提高治愈率和生存率。
在进行胸片检查时,我们需要注意一些事项,以确保检查的准确性和安全性。应遵循医生的指导,在检查前去除身上的金属物品,如项链、耳环等。在检查过程中应保持正确的姿势,尽量放松身体,以获得清晰的影像。如果对检查有任何疑问或担忧,应及时与医生沟通。
对于一些特殊人群,如孕妇、儿童等,胸片检查需要谨慎考虑。在医生的建议下,可以选择其他更适合的检查方法。
除了定期进行胸片检查外,我们还应该注意日常生活中的一些细节,以维护胸部健康。保持良好的生活习惯,如戒烟限酒、均衡饮食、适量运动等,有助于预防肺部疾病的发生。避免暴露在有害物质中,如粉尘、化学物质等,佩戴合适的防护用品。定期进行体检,及时发现和处理健康问题也是非常重要的。
胸片全体曝光是一种简单而重要的检查方法,能够清晰地呈现胸部的健康状况。我们应该重视胸部健康,定期进行胸片检查,并采取积极的生活方式和预防措施,以保持胸部的健康。也要相信医生的建议和指导,及时就医,确保自己的健康。让我们一起关爱胸部健康,享受美好的生活!